Cuido tu bienestar vascular

Bienvenido al espacio donde tu bienestar vascular cobra vida. Descubre la experiencia única de cuidado con Kerbi Guevara Noriega. Tu salud, mi prioridad constante ¡Explora ahora!

Certificación internacional

Soy un médico formado en la Universidad de Carabobo, Venezuela, con especialización en Investigación Traslacional y Cirugía Vascular. Mi trayectoria incluye estudios en donación y trasplante en Barcelona, y estoy certificado para ejercer en Estados Unidos.

Especialidad en angiología y cirugía vascular

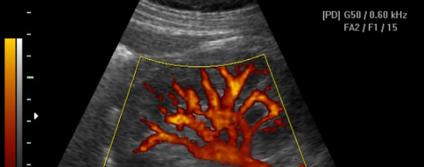
Kerbi Guevara: tu experto en cirugía vascular - Error 404 - ecografia doppler

Ecografía doppler

Imágenes tridimensionales precisas, desentrañando el flujo sanguíneo, evaluando la circulación vascular con detalle.
Kerbi Guevara: tu experto en cirugía vascular - Error 404 - duplex

Dúplex

Fusión de ecografía y doppler para diagnóstico vascular preciso y tridimensional.
Kerbi Guevara: tu experto en cirugía vascular - Error 404 - valoracion cardiovascular

Valoración cardiovascular

Evaluación minuciosa sumergiéndose en todos los aspectos circulatorios, ofreciendo comprensión completa y experta.
Kerbi Guevara: tu experto en cirugía vascular - Error 404 - seugnda opcion medica

Segunda opinión médica​​

Perspectivas adicionales en tres dimensiones, claridad excepcional para decisiones informadas en salud vascular.

Kerbi Guevara: tu experto en cirugía vascular - Error 404 - control pie diabetico

Control pie diabético

Monitoreo especializado triplicado, previniendo complicaciones y garantizando el bienestar en pies diabéticos.
Kerbi Guevara: tu experto en cirugía vascular - Error 404 - cuidado de ulceras

Cuidado de ulceras

Tratamiento dedicado, ahora triplicado, promoviendo curación eficiente y mejorando la salud vascular significativamente.
Kerbi Guevara: tu experto en cirugía vascular - Error 404 - aneurismas

Aneurismas

Kerbi Guevara: tu experto en cirugía vascular - Error 404 - rehabilitacion cardiaca

Rehabilitación cardíaca

Cuidado y tratamientos

Programas y servicios cardíacos

Kerbi Guevara: tu experto en cirugía vascular - Error 404 - cirugia cardiaca

Cirugía cardíaca

Kerbi Guevara: tu experto en cirugía vascular - Error 404 - cardiologia

Cardioncología

Kerbi Guevara: tu experto en cirugía vascular - Error 404 - tratamientos no invasivos

Tratamientos no invasivos

Kerbi Guevara: tu experto en cirugía vascular - Error 404 - menor tiempo recuperacion

Menor tiempo de 
recuperación

Investigación e innovación

Ir al contenido